ODONTOLOGÍA RESTAURADORA
¿POR QUÉ ES IMPORTANTE LA ODONTOLOGÍA RESTAURADORA?
Por desgracia con el paso los años y otras circunstancias perdemos algunos dientes... Pero, ¿en qué método se basa la odontología restauradora?
Esta se compone de tratamientos necesarios para reemplazar los dientes que han caído y para no perder la funcionalidad que tenían ni la estética deseada.
Es igual de importante tener los dientes sanos que no tener ninguna ausencia de estos, ya que la ausencia de piezas podría suponer una sobrecarga a las que quedan.


Implantes

Puentes

Prótesis Removible
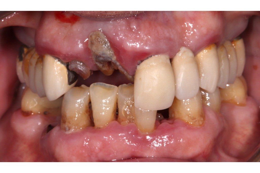
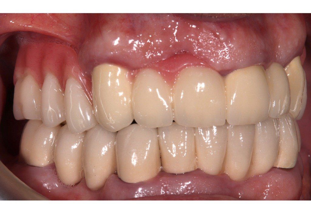
CASO DE ODONTOLOGÍA RESTAURADORA
Este es uno de los casos de odontología restauradora tratada en nuestra clínica Estildental.
El paciente vino con parte de sus dientes caídos y desestructurados. Para ayudarlo, se le realizó una restauración donde se le implantaron nuevos dientes, consiguiendo así la estética deseada y la funcionalidad de estos.


